Keep your smile beautiful and fresh
Why choose us?
Experienced Clinicians
Technology
Gentle dentistry
Flexible Availability
Affordable plans available
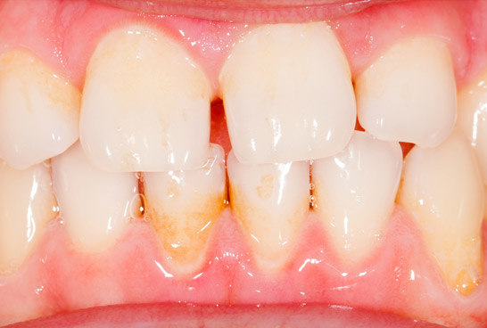
What is Gum Disease?
Periodontal (gum) disease is an infection of the tissues and bone structure surrounding your teeth. It is usually caused by poor oral hygiene habits such as bad brushing, not using floss and eating habits. This allows a sticky film to coat the teeth which bacteria will build up and harden forming what we call calculus.
Symptoms may include:
- swollen “puffy” gums
- red inflamed colour of the gums
- bleeding
- tenderness
- bad breath
- advanced cases may cause teeth to become mobile, painful while chewing on and can eventuate to tooth loss
To prevent this, our dentists recommend a 6 monthly examination and hygiene appointment.
Why should I attend my dentist regularly?
Attending Bayview Dental in Perth allows us to keep track of your dental health which includes checking each individual tooth for cavities, measuring gum health and making recommendations for your best overall health.
The dentist will perform what most people know as a scale and clean. A scale and clean is a procedure performed by our dentists or oral health therapist at Bayview Dental which consists of a machine being used to vibrate away the hardened plaque and calculus.
Hand instruments may also be used to get underneath the gum surface to make sure any hidden calculus and bacteria is removed.
We then use a paste to remove any surface staining and soft plaque.
Under recommendations of the dentist or therapist local anesthetic may be required to make this procedure more comfortable and allows us to perform thorough clean.
Gum Disease FAQs
How can Gum Disease affect my overall health?
There are many factors which cause or worsen gum disease, they include:
- Poor oral hygiene habits
- Smoking
- Diabetes
- Pregnancy
- Certain medications
- Tooth alignment
- Genetic factors
Not only can gum disease look and feel unpleasant, the health factors associated to gum disease can be linked with significant issues such as heart disease.
If you imagine your mouth as a sponge; it is an absorbent, warm and a moisten cavity which is where bacteria thrives. These bacteria’s can be absorbed from your mouth into your blood stream which can cause an inflammation response to the body.
Handy tips to avoid and manage Gum Disease
Home maintenance is the most important part to prevent gum disease, however here are some further recommendations from our team at Bayview Dental to keep your smile beautiful and fresh.
- Brushing twice a day - morning after breakfast and at night before bed
- Flossing once a day - we recommend It to be done as a part of your night routine to remove any bacteria that has accrued through out the day
- 6 monthly dental appointments
- Drink plenty of water
- Chew sugar free gum
- Avoid excessive amounts of sugary drinks and foods
What if it has been a while since I have seen the dentist?
We all understand life can be busy with family, friends, work and studies.
Any time is an opportunity to attend Bayview Dental in Perth, you should never feel if it’s been long that you should not bother coming. We provide a non-judgmental gentle dental experience.
This will usually consist of a 60-minute appointment. During this appointment the dentist or therapist will assess your gum health, a clinical periodontal analysis recording will be taken.
This is where each 6 areas (yes, there is 6 sides to your gum!) will be measured using a thin ruler.
We encourage you to listen to the numbers that are called out at this point, a healthy range is between 1-3mm.
A periodontal recording is a diagnostic tool which takes measurements of different aspects of your gum structure such as pockets, bone loss, gum recession and bleeding.
Radiographs and dental charts may also be used for dental diagnosis and references for future treatment.
Our difference
We focus on treating Gum Disease in Perth
Affordability
Quality – using NEWTRON® technology, the perfectly-controlled vibrations and high-quality tips improve tooth preservation, efficacy and comfort during treatment.
Surgical expertise – a lot of the procedures that you may have to see another dentist for can be completed at our clinic, with state-of-the-art equipment.
LAPT – Laser assisted periodontal treatment – ask us about surgical laser treatments, which are far more conservative than surgical periodontal scaling.
Come see us at Bayview Dental Today!
As explained previously, our experienced and highly trained dentists and coordinators in Perth provide a non-judgmental approach to dental and managing gum disease. The aim is to make you aware and to create a plan to fix and maintain your healthy smile!
With great professionalism and a gentle, caring approach we welcome people of all ages. Gum disease can start at a young age; we all know children enjoy the sweeter things in life!
Education is important for any ages; we are always are approachable to any questions and enquires you may have.
.
